AYÚDANOS A DARLE UNA MEJOR CALIDAD DE VIDA A
ALEGRÍA PANDURO BARBARÁN

DESCRIPCIÓN

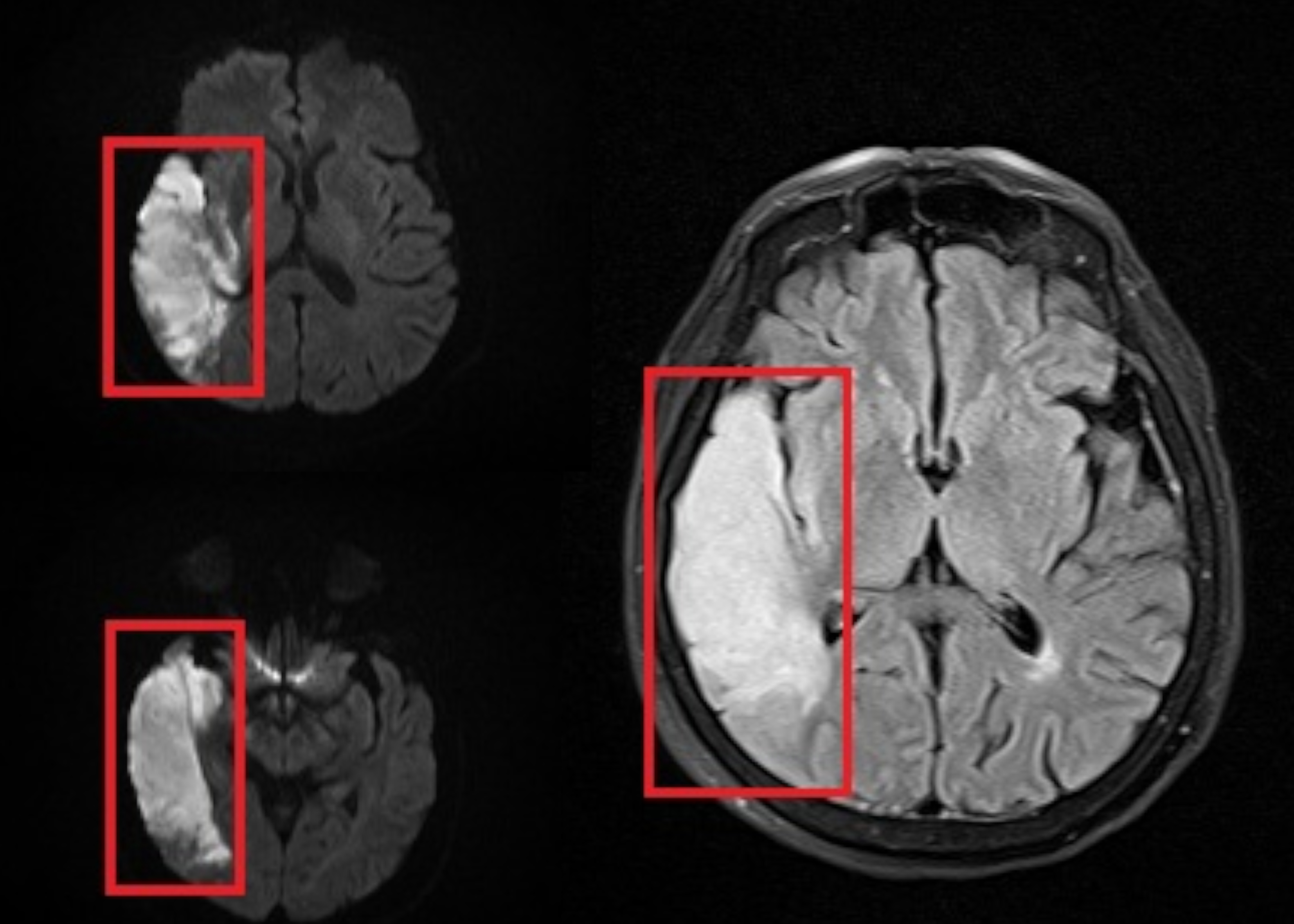
Hoy acudimos a tu sentir de amor al prójimo para apoyar a una persona muy querida que, tras sufrir un Accidente Cerebrovascular Isquémico nivel GRAVE (ACV), comprometiendo casi la totalidad del hemisferio derecho de su cerebro, enfrenta una condición de salud grave y totalmente dependiente, que ha cambiado su vida y la de su familia de manera drástica. Actualmente se encuentra postrada al 100% y requiere cuidados permanentes, atención médica constante y tratamientos especializados para poder mantenerse estable y con dignidad.

Su condición de salud incluye:

  • Pérdida total del apetito; se alimenta por sonda nasogástrica.
  • Pérdida de aproximadamente 30 kg (de 80 kg a 50 kg).
  • Problemas severos de deglución de líquidos y sólidos.
  • Hemiplejia del lado izquierdo.
  • Alucinaciones visuales, auditivas y delirios.
  • Cambios frecuentes en su estado de ánimo.
  • Disartria (dificultad para hablar).
  • Vejiga neurogénica.
  • Estreñimiento crónico.
  • UPP coxis.
  • Dependencia total para movilizarse y realizar actividades básicas.

¿Para qué se utilizarán los fondos? Los recursos recaudados serán destinados a:

  • Medicamentos continuos y tratamientos especializados.
  • Alimentación enteral y suministros médicos (sondas, pañales, insumos).
  • Consultas médicas, estudios y terapias.
  • Atención de enfermería y cuidados diarios.
  • Gastos médicos imprevistos y traslados.

Tu ayuda hace la diferencia:
Cualquier donación, por pequeña que parezca, contribuye directamente a mejorar su calidad de vida y a aliviar la carga emocional y económica que enfrenta su familia.

Si no puedes donar, compartir esta campaña también es una gran ayuda.

Muchas gracias por tu apoyo, tu empatía y tu buen corazón. Juntos podemos brindar cuidado, alivio y esperanza.

Si desea más información o enviarnos algún mensaje de aliento, puede escribir a: info@alegriapb.org